すきっ歯は矯正で治せますか?
すきっ歯の矯正
- すきっ歯は矯正で治せますか?
- 前歯がすきっ歯です。部分矯正で治りますか?費用はどうなりますか?
- すきっ歯の矯正はマウスピース矯正で治せますか?
- すきっ歯の矯正費用はいくらかかりますか?
- すきっ歯の矯正期間はどれくらいですか?
- 矯正後にすきっ歯になったという話をネットで見たことがあります。このような問題はどういった理由で起こる可能性がありますか?
- 下の歯だけすきっ歯の場合、どのような矯正治療をしますか?
- 出っ歯ですきっ歯です。矯正できれいに治りますか?
- 大人になってからでもすきっ歯の矯正はできますか?どのくらいで治りますか?
- 子供のすきっ歯は矯正したほうがいいですか?自然に治ることはありますか?
- すきっ歯の矯正でゴムかけは必要ですか?
- すきっ歯の矯正は痛いですか?
- すきっ歯は自力で矯正できますか?
-
-
-
治せます。
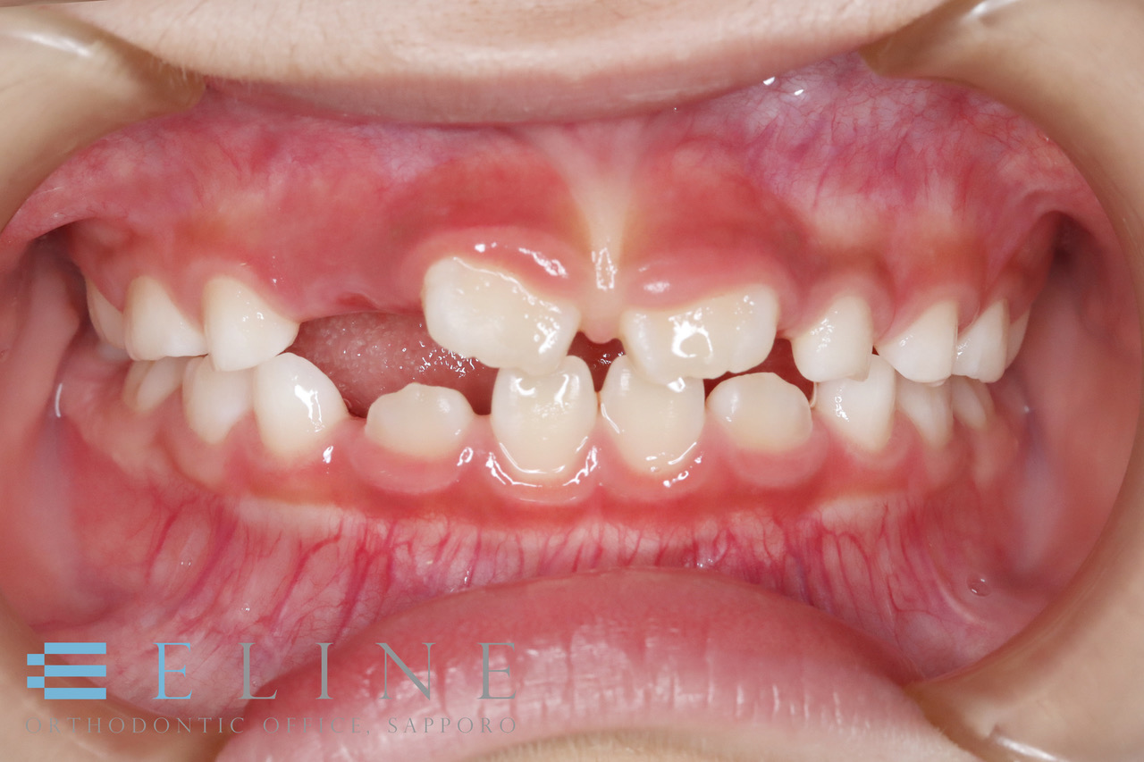
すきっ歯とは、隣同士の歯が緊密に接触せずに隙間がある状態(空隙歯列)をいいます。
すきっ歯の原因として、
- 前歯が過度に外向きに生えている
- 上唇の裏側のスジ(上唇小帯)が太かったり、付着位置が前歯の歯肉の間にまで入り込んでいる(正中離開)
- 舌突出癖があり、舌が前歯を常に押している
- 指しゃぶり等の悪習癖
- 歯と顎の大きさのアンバランス
- 歯が欠損していることで隙き間ができている
- 歯と歯の間に過剰埋伏歯があり隙間ができている
- 歯周病により歯を支える骨が減少し、歯の動揺がある
などがあります。
すきっ歯であることで、以下のようなデメリットが生じます。
- 食べ物をうまくかみ切ることができない
- 発音がしづらい
- 食べ物が挟まりやすい、歯磨きがしづらい等で虫歯や歯周病になりやすい
- 審美的なコンプレックス 等

「上唇小帯」が原因のすきっ歯 
「舌突出癖」によるすきっ歯 
「反対咬合」ですきっ歯 
-
-
-
前歯がすきっ歯です。部分矯正で治りますか?費用はどうなりますか?
-
軽度のすきっ歯であれば、部分矯正で治療が可能です。
しかし、すきっ歯が局所的な原因ではなく、他の歯の位置やかみ合わせも影響している場合は、広範囲の部分矯正、本格矯正が必要になる場合があります。部分矯正、本格矯正の費用は「矯正料金のページ」を参照ください。

-
-
-
すきっ歯の矯正はマウスピース矯正で治せますか?
-
すきっ歯になっている原因、程度によりますが、軽度であればマウスピース矯正でも治療は可能です。しかし、すきっ歯の原因が噛み合わせ全体に及んでいる場合は、より正確に個々の歯をコントロールできるワイヤー矯正の方が期間、仕上がり共に有利です。
どちらの治療法が適切であるかは症例によって異なりますので、マウスピース、ワイヤー矯正両方の治療法に精通する矯正専門医による検査・診断が必要です。

-
-
-
すきっ歯の矯正費用はいくらかかりますか?
-
部分矯正、マウスピース矯正、ワイヤー矯正、それぞれの治療法によって値段が変わりますが、他の不正咬合と同じで詳細は「矯正料金のページ」を参照ください。
外科矯正の場合は、健康保険の適用となります。

-
-
-
すきっ歯の矯正期間はどれくらいですか?
-
部分矯正であれば1年程度、本格矯正であれば2〜3年程度必要です。どちらの場合も1〜3年程度の保定期間が必要です。

-
-
-
矯正後にすきっ歯になったという話をネットで見たことがあります。このような問題はどういった理由で起こる可能性がありますか?
-
舌突出癖(舌で前歯を押す癖)が原因のすきっ歯の場合、矯正中に悪習癖を改善するための舌のトレーニング(=MFT)をしっかりやる必要があります。
舌突出癖が改善されない場合は、再発の大きな原因になります。また、保定期間(きれいになった歯並びを安定させる期間)に、保定装置(リテーナー)の使用状況が悪かったり、きちんと通院せず管理を怠ったりした場合にも後戻りが起こることがあります。
また、歯周病の方や、矯正治療後歯周病が進行した場合等に、歯槽骨(歯を支える骨)が減少すると起こることがあります。

-
-
-
下の歯だけすきっ歯の場合、どのような矯正治療をしますか?
-
すきっ歯の治療方法は、上の歯、下の歯に関係なく同じです。

-
-
-
出っ歯ですきっ歯です。矯正できれいに治りますか?
-
デコボコ、受け口などと同じように出っ歯ですきっ歯も不正咬合の一つですから、矯正治療で治すことが可能です。

-
-
-
大人になってからでもすきっ歯の矯正はできますか?どのくらいで治りますか?
-
他の矯正治療同様、すきっ歯の治療も年齢に関係なく可能です。
治療期間、矯正料金も他の矯正治療と同じで、軽度の場合の動的治療期間は1年くらい、平均すると2〜3年です。その後は歯並びを安定させるための保定期間が1〜3年ほど必要です。

-
-
-
子供のすきっ歯は矯正したほうがいいですか?自然に治ることはありますか?
-
すきっ歯のデメリットの一つに、発音への悪影響が挙げられます。学童期において、きちんと発音できることは非常に大切です。加えて、食べ物が噛みにくかったり、ものが挟まりやすいことで虫歯や歯周病のリスクも高まります。
また、出っ歯やすきっ歯は、顔の特徴として目立ちやすいこともあり、お子様本人がコンプレックスに感じているケースが多いです。
放っておいて自然に治るものではありませんので、矯正治療で正しいかみ合わせに改善されることをおすすめします。

-
-
-
すきっ歯の矯正でゴムかけは必要ですか?
-
すきっ歯の改善のためにゴムがけを必要とするケースは少なくありません。近年は「アンカースクリュー」を用いることが多くなりました。

-
-
-
すきっ歯の矯正は痛いですか?
-
すきっ歯に限らず矯正治療では、毎回の調整直後から2〜3日の間、歯の移動に伴いじんわりと圧迫されるような痛みを感じることがあります。痛みの程度や感じ方には個人差がありますが、大抵の方は数日で感じなくなることが多いです。

-
-
-
すきっ歯は自力で矯正できますか?
-
すきっ歯に限らず、不正咬合を自分で治すことは不可能です。
ただ、舌突出癖が原因のすきっ歯は、舌のトレーニング(=MFT)である程度改善するケースもありますが、そのトレーニングには矯正歯科医院での適切な指導が必要です。

-
著者プロフィール
上野拓郎 博士(歯学)
E-line矯正歯科 院長
日本歯科専門医機構認定 矯正歯科専門医・研修指導医
日本矯正歯科学会 認定医・指導医・臨床医(旧臨床指導医)
世界舌側矯正歯科学会(WSLO) 認定医
北海道大学歯学部卒業後、歯科矯正学を専門に研鑽を積み、1997年にE-line矯正歯科を開院。矯正歯科分野において30年以上の臨床経験を重ね、日本矯正歯科学会認定医・指導医・臨床医(旧臨床指導医)、舌側矯正の国際的認定医など多数の資格を取得。2023年には日本歯科専門医機構より「矯正歯科専門医」、2025年には「研修指導医」に認定される。


