-
叢生(乱杭歯)
症例01 叢生(乱杭歯)
-
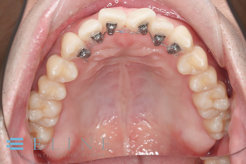
初診時 -
動的治療終了時
主訴 でこぼこ、八重歯、前歯が咬みづらい、歯が磨きづらい 初診時年齢 28歳5か月 女性 診断 歯と歯槽基底の大きさの不調和による叢生の症例 使⽤装置 マルチブラケット装置(上顎:リンガルブラケット、下顎:ラビアルブラケット)、フィックスドリテーナー 抜⻭・⾮抜⻭ 上下左右第一小臼歯 治療期間 26か月 現在保定期間中 治療 叢生改善のため、小臼歯を4本抜歯して治療開始。上顎の抜歯スペースの閉鎖、前歯の後方移動のため、上顎臼歯部口蓋側に矯正用アンカースクリューを埋入し使用。 治療費 -
- 検査・診断料
- 38,500円
-
- 治療費
- 770,000円
-
- 調節料
- 5,500円x23回
-
- 観察料(保定)
- 3,300円x4回
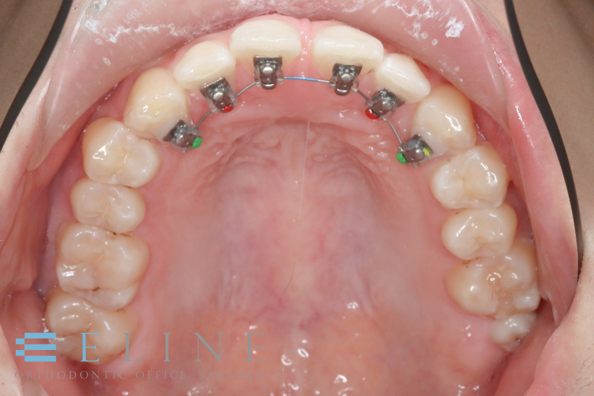
リスク・副作⽤ ブラケット装着中は歯磨きがしづらくなり、カリエスリスクが高くなる。歯の移動方向によっては、歯根吸収、歯肉退縮を起こすことがある。 症例02 叢生(乱杭歯)
-
初診時 -
動的治療終了時
主訴 八重歯、歯ぎしりをする、歯が磨きづらい 初診時年齢 27歳7か月 女性 診断 歯と歯槽基底の大きさの不調和による叢生の症例 使⽤装置 マルチブラケット装置(リンガルブラケット)、フィックスドリテーナー 抜⻭・⾮抜⻭ 上下左右第一小臼歯 治療期間 動的治療期間:34か月 現在保定期間中 治療 叢生改善のため、第一小臼歯を4本抜歯して治療開始。
上顎の抜歯スペースの閉鎖、上顎前歯の後方移動のため、上顎臼歯部口蓋側に矯正用アンカースクリューを埋入した。治療費 -
- 検査・診断料
- 38,500円
-
- 治療費
- 880,000円
-
- 調節料
- 5,500円x22回
-
- 観察料(保定)
- 3,300円x3回
リスク・副作⽤ ブラケット装着中は歯磨きがしづらくなり、カリエスリスクが高くなる。歯の移動方向によっては、歯根吸収、歯肉退縮を起こすことがある。 症例03 叢生(乱杭歯)・上下顎前突
-
初診時 -
動的治療終了時
主訴 出っ歯、上あご、下あごが出ている、口が閉じにくい 初診時年齢 26歳9か月 女性 診断 上下顎前歯の唇側傾斜による上下顎前突の症例で軽度の叢生、第二大臼歯のscissors biteを伴う 使⽤装置 マルチブラケット装置(ラビアルブラケット)、フィックスドリテーナー 抜⻭・⾮抜⻭ 上下左右第一小臼歯、上下両側第三大臼歯 治療期間 動的治療期間:28か月 現在保定期間中 治療 上下顎前歯を後退させるため、第一小臼歯を4本抜歯。scissors bite の改善のため、上下両側第三大臼歯を抜歯して治療開始。
上顎の抜歯スペースの閉鎖、上顎前歯の後方移動のため、上顎頬側臼歯部に矯正用アンカースクリューを埋入した。治療費 -
- 検査・診断料
- 38,500円
-
- 治療費
- 660,000円
-
- 調節料
- 5,500円x24回
-
- 観察料(保定)
- 3,300円x3回
リスク・副作⽤ ブラケット装着中は歯磨きがしづらくなり、カリエスリスクが高くなる。歯の移動方向によっては、歯根吸収、歯肉退縮を起こすことがある。 
初診時 
動的治療終了時 
重ね合わせ -
-
出っ歯(上顎前突)
症例01 出っ歯(上顎前突)
-
初診時 -
動的治療終了時
主訴 出っ歯、でこぼこ、上唇が出ている、歯が磨きづらい、いつも口が開いている 初診時年齢 14歳3か月 女性 診断 下顎骨の後方位による骨格性上顎前突の症例で叢生を伴う 使⽤装置 マルチブラケット装置(リンガルブラケット)、フィックスドリテーナー 抜⻭・⾮抜⻭ 上下左右第一小臼歯 治療期間 動的治療期間:26か月 現在保定期間中 治療 第一小臼歯を4本抜歯して治療開始。
上顎の抜歯スペースの閉鎖、前歯の後方移動のため、上顎臼歯部口蓋側に矯正用アンカースクリューを埋入した。治療費 -
- 検査・診断料
- 38,500円
-
- 治療費
- 880,000円
-
- 調節料
- 5,500円x23回
-
- 観察料(保定)
- 3,300円x8回
リスク・副作⽤ ブラケット装着中は歯磨きがしづらくなり、カリエスリスクが高くなる。歯の移動方向によっては、歯根吸収、歯肉退縮を起こすことがある。 症例02 出っ歯(上顎前突)
-
初診時 -
動的治療終了時
主訴 出っ歯、でこぼこ、口が閉じにくい 初診時年齢 21歳5か月 女性 診断 上顎前歯の唇側傾斜による歯槽性上顎前突の症例で叢生を伴う 使⽤装置 マルチブラケット装置(リンガルブラケット)、フィックスドリテーナー 抜⻭・⾮抜⻭ 上下左右第一小臼歯 治療期間 動的治療期間:30か月 現在保定期間中 治療 叢生、前歯の前突改善のため、第一小臼歯を4本抜歯して治療開始。
上顎の抜歯スペースの閉鎖、上顎前歯の後方移動のため、上顎臼歯部口蓋側に矯正用インプラントアンカーを埋入した。装置除去後、フィックスドリテーナーで保定治療開始。治療費 -
- 検査・診断料
- 38,500円
-
- 治療費
- 880,000円
-
- 調節料
- 5,500円x25回
-
- 観察料(保定)
- 3,300円x10回
リスク・副作⽤ ブラケット装着中は歯磨きがしづらくなり、カリエスリスクが高くなる。歯の移動方向によっては、歯根吸収、歯肉退縮を起こすことがある。 -
-
すきっ歯(空隙歯列)
症例01 すきっ歯(空隙歯列)
-
初診時 -
動的治療終了時
主訴 歯がすいている 上唇が出ている 初診時年齢 34歳4か月 女性 診断 下顎骨の後方位による骨格性上顎前突の症例で空隙歯列を伴う 使⽤装置 マルチブラケット装置(リンガルブラケット)
フィックスドリテーナー(保定装置)リテーナー抜⻭・⾮抜⻭ 下右側第三大臼歯 治療期間 36か月 治療 治療開始にあたり、埋伏している上下右側第三大臼歯を抜歯。動的治療中、上顎前歯の後方移動のため、上顎舌側臼歯部に矯正用アンカースクリューを埋入した。 治療費 -
- 検査・診断料
- 38,500円
-
- 治療費
- 770,000円
-
- 調節料
- 5,500円x26回
-
- 観察料
- 3,300円x4回
リスク・副作⽤ ブラケット装着中は歯磨きがしづらくなり、カリエスリスクが高くなる。歯の移動方向によっては、歯根吸収、歯肉退縮を起こすことがある。 -
-
受け口(下顎前突)
症例01 受け口(下顎前突)
-
初診時 -
動的治療終了時
主訴 うけ口、下顎が出ている、口が閉じにくい 初診時年齢 21歳10か月 男性 診断 上顎骨の過成長による骨格性下顎前突の症例で叢生を伴う 使⽤装置 マルチブラケット装置(リンガルブラケット)、フィックスドリテーナー 抜⻭・⾮抜⻭ 非抜歯 治療期間 動的治療期間:25か月 現在保定期間中 治療 前歯の逆被害改善のため、下顎両側第三大臼歯を抜歯して治療開始。下顎の後方移動のため、下顎第二大臼歯遠心に矯正用アンカースクリューを埋入した。 治療費 -
- 検査・診断料
- 38,500円
-
- 治療費
- 880,000円
-
- 調節料
- 5,500円x19回
-
- 観察料(保定)
- 3,300円x1回
リスク・副作⽤ ブラケット装着中は歯磨きがしづらくなり、カリエスリスクが高くなる。歯の移動方向によっては、歯根吸収、歯肉退縮を起こすことがある。 症例02 受け口(下顎前突)
-
初診時 -
動的治療終了時
主訴 でこぼこ、八重歯、うけ口、歯が磨きづらい、下唇が出ている 初診時年齢 22歳9か月 女性 診断 下顎骨の過成長による前歯部反対咬合の症例で叢生を伴う 使⽤装置 マルチブラケット装置(ラビアルブラケット)、フィックスドリテーナー 抜⻭・⾮抜⻭ 下顎左右第三大臼歯 治療期間 動的治療期間:30か月 現在保定期間中 治療 前歯の逆被害改善のため、下顎両側第三大臼歯を抜歯して治療開始。
下顎歯の後方移動のため、下顎第二大臼歯遠心に矯正用アンカースクリューを埋入した。治療費 -
- 検査・診断料
- 38,500円
-
- 治療費
- 660,000円
-
- 調節料
- 5,500円x24回
-
- 観察料(保定)
- 3,300円x4回
リスク・副作⽤ ブラケット装着中は歯磨きがしづらくなり、カリエスリスクが高くなる。歯の移動方向によっては、歯根吸収、歯肉退縮を起こすことがある。 -
-
開咬(オープンバイト)
症例01 開咬(オープンバイト)
-
初診時 -
動的治療終了時
主訴 出っ歯、前歯が噛み合わない 初診時年齢 34歳5か月 女性 診断 下顎骨の後方位による骨格性上顎前突の症例で下顎下縁平面の急傾斜を伴う 使⽤装置 マルチブラケット装置(リンガルブラケット)、フィックスドリテーナー 抜⻭・⾮抜⻭ 上顎左右第二小臼歯 下顎左右第一小臼歯 治療期間 動的治療期間:23か月 現在保定期間中 治療 上下顎前歯の前突改善、及び開咬合のため、上下小臼歯を4本抜歯して治療開始。
上顎の抜歯スペースの閉鎖、上顎前歯の後方移動のため、上顎臼歯部口蓋側に矯正用アンカースクリューを埋入した。開咬の要因として、舌突出癖を疑ったが認められず保定期間も咬合は安定している。治療費 -
- 検査・診断料
- 38,500円
-
- 治療費
- 880,000円
-
- 調節料
- 5,500円x20回
-
- 観察料(保定)
- 3,300円x20回
リスク・副作⽤ ブラケット装着中は歯磨きがしづらくなり、カリエスリスクが高くなる。歯の移動方向によっては、歯根吸収、歯肉退縮を起こすことがある。
悪習癖(舌突出癖)は、咬合の安定を妨げる要因となることがある。症例02 開咬(オープンバイト)
-
初診時 -
動的治療終了時
主訴 出っ歯、前歯が噛み合わない、物を咬み切る事ができない、口が閉じにくい 初診時年齢 26歳5か月 女性 診断 下顎下縁平面の急傾斜による骨格性開咬の症例で舌癖を伴う 使⽤装置 マルチブラケット装置(リンガルブラケット)、フィックスドリテーナー 抜⻭・⾮抜⻭ 上顎左第一小臼歯、右第二小臼歯 下顎左右第一小臼歯 治療期間 動的治療期間:30か月 現在保定期間中 治療 上下顎前歯の前突改善、及び開咬合のため、上下小臼歯を4本抜歯して治療開始。上顎の抜歯スペースの閉鎖、上顎前歯の後方移動のため、上顎臼歯部口蓋側に矯正用アンカースクリューを埋入した。開咬の改善、悪化防止のため、舌のトレーニング(MFT)を動的治療、保定期間を通して行う必要あり。 治療費 -
- 検査・診断料
- 38,500円
-
- 治療費
- 880,000円
-
- 調節料
- 5,500円x26回
-
- 観察料(保定)
- 3,300円x3回
リスク・副作⽤ ブラケット装着中は歯磨きがしづらくなり、カリエスリスクが高くなる。歯の移動方向によっては、歯根吸収、歯肉退縮を起こすことがある。
悪習癖(舌突出癖)は、咬合の安定を妨げる要因となることがある。症例03 開咬(オープンバイト)
-
初診時 -
動的治療終了時
主訴 前歯が噛み合わない、物を咬み切る事ができない 初診時年齢 22歳11か月 男性 診断 下顎下縁平面の急傾斜による骨格性開咬の症例で舌癖を伴う 使⽤装置 マルチブラケット装置(ラビアルブラケット)、Wアーチ(上顎)、フィックスドリテーナー 抜⻭・⾮抜⻭ 下顎左右第三大臼歯 治療期間 動的治療期間:42か月 現在保定期間中 治療 外科的咬合改善ではなく、矯正単独での治療を希望。
開咬の改善のため、上顎大臼歯の圧下を目的に頬側、口蓋側に矯正用アンカースクリューを埋入した。開咬の改善、悪化防止のため、舌のトレーニング(MFT)を動的治療、保定期間を通して行う。治療費 -
- 検査・診断料
- 38,500円
-
- 治療費
- 550,000円
-
- 調節料
- 5,500円x32回
-
- 観察料(保定)
- 3,300円x22回
リスク・副作⽤ ブラケット装着中は歯磨きがしづらくなり、カリエスリスクが高くなる。歯の移動方向によっては、歯根吸収、歯肉退縮を起こすことがある。
悪習癖(舌突出癖)は、咬合の安定を妨げる要因となることがある。 -
-
顎変形症(外科矯正)
症例01 顎変形症・反対咬合(外科矯正)
-
初診時 -
動的治療終了時
主訴 うけ口、凸凹、物を咬みきることができない、口が閉じにくい 初診時年齢 18歳10か月 女性 診断 下顎骨の過成長による骨格性反対咬合の症例で下顎下縁平面の急傾斜、開咬を伴う 使⽤装置 マルチブラケット装置(ラビアルブラケット)、フィックスドリテーナー 抜⻭・⾮抜⻭ 下顎左右第三大臼歯 治療期間 動的治療期間:術前矯正17か月、術後矯正5か月
現在保定期間中治療 外科手術のために必要な下顎前歯第三大臼歯の抜歯以外、非抜歯で術前矯正を行った。
外科手術(下顎枝矢状分割術)後、術後矯正を行った。治療費 -
- 保険診療
リスク・副作⽤ 手術後、下顎の先の部位に痺れが生じることがある。痺れは時間ともに消退していくのが一般的だが、その期間、程度については個人差がある。
ブラケット装着中は歯磨きがしづらくなり、カリエスリスクが高くなる。歯の移動方向によっては、歯根吸収、歯肉退縮を起こすことがある。
悪習癖(舌突出癖)は、咬合の安定を妨げる要因となることがある。症例02 顎変形症・下顎左方転位・顔面非対称(外科矯正)
-
初診時 -
動的治療終了時
主訴 うけ口、凸凹、下顎が左にずれている 初診時年齢 39歳1か月 男性 診断 下顎骨の過成長による骨格性反対咬合の症例で下顎の左方偏位を伴う 使⽤装置 マルチブラケット装置(ラビアルブラケット)、フィックスドリテーナー 抜⻭・⾮抜⻭ 下顎左右第三大臼歯 治療期間 動的治療期間:術前矯正20か月、術後矯正10か月
現在保定期間中治療 外科手術のために必要な下顎前歯第三大臼歯の抜歯を行い術前矯正を行った。
外科手術(下顎枝矢状分割術)後、術後矯正を行った。治療費 -
- 保険診療
リスク・副作⽤ 手術後、下顎の先の部位に痺れが生じることがある。痺れは時間ともに消退していくのが一般的だが、その期間、程度については個人差がある。
ブラケット装着中は歯磨きがしづらくなり、カリエスリスクが高くなる。歯の移動方向によっては、歯根吸収、歯肉退縮を起こすことがある。
悪習癖(舌突出癖)は、咬合の安定を妨げる要因となることがある。 -
-
部分矯正
症例01 前歯部叢生
-
初診時 -
動的治療中 -
動的治療終了時
主訴 でこぼこ、前歯で物が咬みきれない 初診時年齢 45歳 女性 診断 歯と歯槽基底の大きさの不調和による前歯部叢生の症例で前歯部開咬を伴う 使⽤装置 マルチブラケット装置(部分矯正:ラビアルブラケット)、フィックスドリテーナー 抜⻭・⾮抜⻭ 非抜歯 治療期間 動的治療期間20か月、現在保定治療中 治療 叢生および開咬改善のため、上下顎前歯部にブラケットを装着。
開咬改善のため、動的治療中6か月顎間ゴムを使用した。治療費 -
- 治療費
- 363,000円
-
- 調節料
- 5,500円x18回
-
- 観察料
- 3,300円x5回
リスク・副作⽤ ブラケット装着中は歯磨きがしづらくなり、カリエスリスクが高くなる。歯の移動方向によっては、歯根吸収、歯肉退縮を起こすことがある。 症例02 前歯部空隙歯列
-
初診時 -
動的治療中 -
動的治療終了時
主訴 前歯が空いている 初診時年齢 22歳10か月 女性 診断 舌突出癖による前歯部空隙歯列の症例 使⽤装置 マルチブラケット装置(部分矯正:リンガルブラケット)、フィックスドリテーナー 抜⻭・⾮抜⻭ 非抜歯 治療期間 動的治療期間13か月、現在保定治療中 治療 空隙歯列改善のため、上顎前歯部にブラケットを装着
舌突出癖改善のため舌のトレーニング(口腔筋機能療法)を行った。治療費 -
- 治療費
- 330,000円
-
- 調節料
- 5,500円x10回
-
- 観察料
- 3,300円x3回
リスク・副作⽤ ブラケット装着中は歯磨きがしづらくなり、カリエスリスクが高くなる。歯の移動方向によっては、歯根吸収、歯肉退縮を起こすことがある。 症例03 前歯部軽度の叢生
-
初診時 -
動的治療中 -
動的治療終了時
主訴 上の前歯のでこぼこが気になる 初診時年齢 28歳1か月 男性 診断 歯と歯槽基底の大きさの不調和による叢生の症例 使⽤装置 マルチブラケット装置(部分矯正:リンガルブラケット)、フィックスドリテーナー 抜⻭・⾮抜⻭ 非抜歯 治療期間 動的治療期間 11か月、現在保定治療中 治療 上顎前歯部にブラケットを装着 治療費 -
- 治療費
- 330,000円
-
- 調節料
- 5,500円x10回
-
- 観察料
- 3,300円x2回
リスク・副作⽤ ブラケット装着中は歯磨きがしづらくなり、カリエスリスクが高くなる。歯の移動方向によっては、歯根吸収、歯肉退縮を起こすことがある。 -

