開咬(オープンバイト)は矯正で治せますか?
開咬(オープンバイト)の矯正
- 開咬(オープンバイト)は矯正で治せますか?
- 開咬(オープンバイト)の矯正はどのような方法で行いますか?矯正期間はどのくらいですか?
- 開咬(オープンバイト)の矯正に失敗する原因はどんなことが考えられますか?
- 開咬(オープンバイト)の矯正の費用はいくらかかりますか?保険適用できますか?
- 開咬(オープンバイト)の矯正は矯正治療の中でも難しいと聞きましたが、なぜですか?
- 開咬(オープンバイト)の矯正は40代でもできますか?
- 開咬(オープンバイト)はワイヤー矯正や裏側矯正で治せますか?
- 開咬(オープンバイト)はマウスピース矯正で治療できますか?
- 子供の開咬(オープンバイト)は矯正したほうがいいですか?
- 開咬(オープンバイト)の矯正をすると小顔になりますか?
- 開咬(オープンバイト)の矯正後に後戻りしないために気を付けた方がいいことを教えて
- 開咬(オープンバイト)の矯正をしないとどうなりますか?
- 自力で治すことはできますか?
-
-
-
はい、治せます。
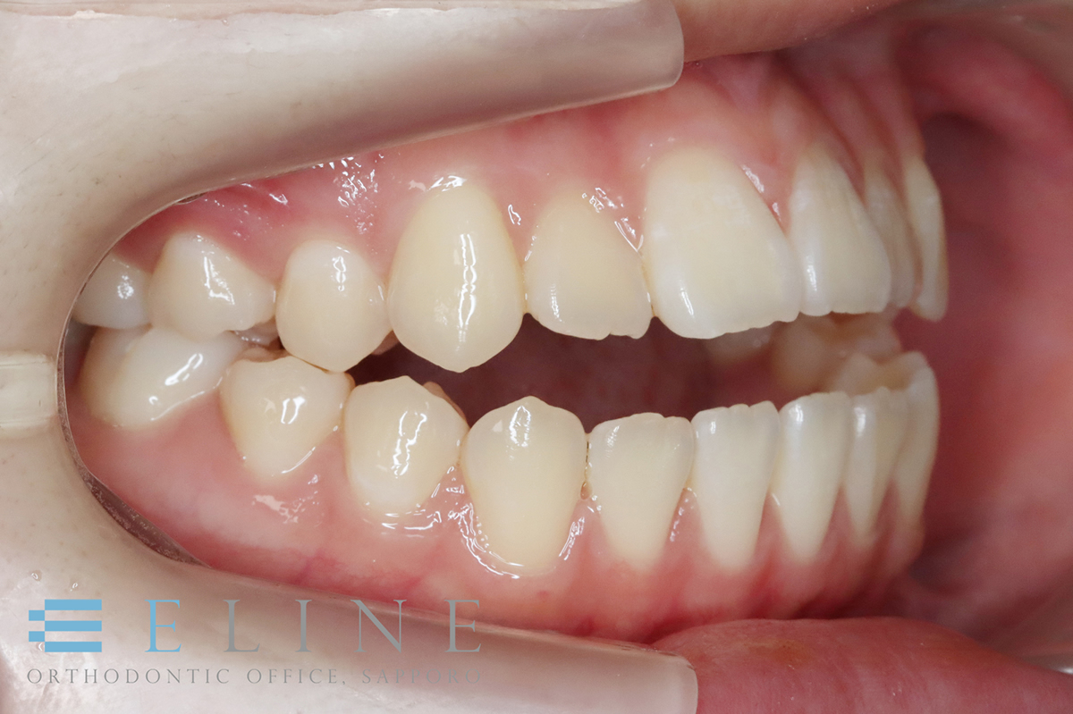
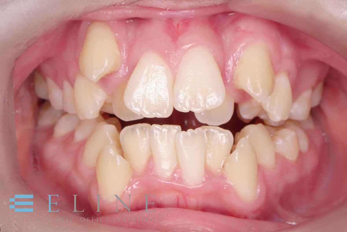
開咬とは、奥歯が咬み合っていても前歯が上下に離れていて咬み合わない状態をいい、別名「オープンバイト」とも言われる不正咬合の一種です。 原因は様々あり、口呼吸、舌突出癖、指しゃぶり、爪噛みなどの悪習癖、その他骨格的な要因もあります。
開咬を放置した場合のリスクとしては
- 食べ物がうまく咬めないこと(咀嚼障害)による内臓への負担
- 咬む力が一部の歯に集中することで(咬合力負担増)、将来的に歯の寿命が短くなる可能性
- 顎関節症を引き起こす可能性
- 発音障害
等が挙げられますので、矯正治療により正しい咬み合わせに改善した方が良いでしょう。
舌癖による開咬
骨格性開咬(1)
骨格性開咬(2)
開咬で叢生 
-
-
-
開咬(オープンバイト)の矯正はどのような方法で行いますか?矯正期間はどのくらいですか?
-
骨格的、または歯列不正が原因の場合、マルチブラケットによる治療を行います。それだけでは改善が見込めない重度のケースでは、外科手術を伴う矯正治療が必要になる事もあります。(外科的矯正)
また、舌突出癖が原因になっている場合、MFT(口腔筋機能療法)も併行して行い、正しい舌の位置や飲み込み方をトレーニングする必要があります。舌突出癖は、一度改善しても再発することがあり、長期にわたってのコントロールが必要な場合があります。
治療期間は、歯並びを整える治療(動的治療)期間が平均2〜3年程度、その後の歯並びを安定させる治療(保定)期間は3年程度必要です。
舌突出癖があるケースでは、舌の動きが歯の移動を妨げ、治療期間が平均より長くなる傾向があります。
詳細は症例ページをご覧ください。

-
-
-
開咬(オープンバイト)の矯正に失敗する原因はどんなことが考えられますか?
-
悪習癖が改善されなかった、或いは再発したことが考えられます。

-
-
-
開咬(オープンバイト)の矯正の費用はいくらかかりますか?保険適用できますか?
-
矯正費用は、不正咬合の種類に関わらず値段は一律です。
検査料、診断料、装置料金と毎回の調節料、保定治療の料金がかかります。
外科手術が必要な「外科(的)矯正」の場合は、保険適用となります。
また、矯正治療費は全て医療費控除の対象となりますので、領収証はなくさずに保管されてください。
料金に関しての詳細は、「矯正料金のページ」を参照してください。

-
-
-
開咬(オープンバイト)の矯正は矯正治療の中でも難しいと聞きましたが、なぜですか?
-
理由は二点挙げられるでしょう。
- 開咬は、原因が歯だけの問題ではなく、舌突出癖、指しゃぶり等の悪習癖が関与していることが多い不正咬合です。
長年ついた癖は改善が難しく、治療後の噛み合わせの安定を妨げる要因となって、徐々に上下の歯の重なりが少なくなり、再度開咬になってしまう事があるからです。
また治療期間も、舌の力が歯の移動を妨げる要因となるため、他の不正咬合に比べより長くなる傾向があります。 - 矯正治療における歯の移動には、水平方向の動き、垂直方向の動きがあります。開咬の治療で重要なのが「垂直方向の歯のコントロール」で、水平方向に比べ、垂直方向にコントロールすることは難しく、これが治療の難易度を上げていました。
しかし、近年矯正用アンカースクリューが標準治療に使われるようになり、以前より歯のコントロールがしやすくなりました。

- 開咬は、原因が歯だけの問題ではなく、舌突出癖、指しゃぶり等の悪習癖が関与していることが多い不正咬合です。
-
-
-
開咬(オープンバイト)の矯正は40代でもできますか?
-
40代に限らず、大人になってから矯正治療を受けられる方はたくさんいらっしゃいます。
矯正治療により、長年抱えてきた見た目のお悩みを解消されたり、しっかりと咬めるようになることで美味しく食事ができたり、健康寿命を伸ばすことにもつながります。

-
-
-
開咬(オープンバイト)はワイヤー矯正や裏側矯正で治せますか?
-
治せます。
開咬の治療では特に、水平方向、垂直方向の三次元的な歯の移動を正確に行うことが重要です。
ラビアルブラケットを装着して行う表側矯正、リンガルブラケットを装着して行う裏側矯正、いずれも三次元的に歯をコントロールすることが得意な治療法です。

-
-
-
開咬(オープンバイト)はマウスピース矯正で治療できますか?
-
軽度の開咬(オープンバイト)は改善可能ですが、ケースは限られます。マウスピースで治療が可能な症例かどうかはご自分での判断は難しく、ワイヤー矯正、マウスピース矯正のどちらにも通じている矯正専門医にご相談されるのが良いでしょう。

-
-
-
子供の開咬(オープンバイト)は矯正したほうがいいですか?
-
開咬のリスクとして、うまく物が咬めない、発音に障害が出る等、発育と成長に良くない影響がありますので、矯正治療で正しい咬み合わせにするべきと考えます。

-
-
-
開咬(オープンバイト)の矯正をすると小顔になりますか?
-
実際の大きさに変化はなくても、開咬が改善されると口が閉じやすくなり、口元が引き締まったり、横顔がすっきりするなどの顔の変化はあるかもしれません。
外科矯正を行った場合は、術後上下の顎の長さが短くなり、面長が改善されますので顔の長さは短くなる傾向があります。

-
-
-
開咬(オープンバイト)の矯正後に後戻りしないために気を付けた方がいいことを教えて
-
歯は、唇の閉じる力(口唇圧)と舌の押す力(舌圧)の釣り合ったところで一番安定します。
矯正後の後戻りを防ぐには、口呼吸や舌突出癖(舌が歯を押してしまう癖)がある場合、正しい習慣をしっかりと身につけることが大切です。
それと同時に、咬合安定のために矯正歯科医による長期的な管理も必要でしょう。

-
-
-
開咬(オープンバイト)の矯正をしないとどうなりますか?
-
- 食べ物がうまく咬めないこと(咀嚼障害)による内臓への負担
- 咬む力が一部の歯に集中することで(咬合力負担増)、将来的に歯の寿命が短くなる可能性
- 顎関節症を引き起こす可能性
- 発音障害

-
-
-
自力で治すことはできますか?
-
開咬は自分で治すことはできません。
まずは矯正歯科医院で相談されてください。

-
著者プロフィール
上野拓郎 博士(歯学)
E-line矯正歯科 院長
日本歯科専門医機構認定 矯正歯科専門医・研修指導医
日本矯正歯科学会 認定医・指導医・臨床医(旧臨床指導医)
世界舌側矯正歯科学会(WSLO) 認定医
北海道大学歯学部卒業後、歯科矯正学を専門に研鑽を積み、1997年にE-line矯正歯科を開院。矯正歯科分野において30年以上の臨床経験を重ね、日本矯正歯科学会認定医・指導医・臨床医(旧臨床指導医)、舌側矯正の国際的認定医など多数の資格を取得。2023年には日本歯科専門医機構より「矯正歯科専門医」、2025年には「研修指導医」に認定される。


